Cena zobnega vsadka v Tuniziji
Povprečna cena zobnega vsadka v Tuniziji je 320 EUR. Odvisno od vaših potreb se lahko cena giblje od 200 do 350 EUR. Postopek se izvaja v lokalni anesteziji in traja od 20 do 40 minut. Dolžina bivanja v bolnišnici je od 4 do 7 dni. Cena vključuje anestezijo, operacijo in zdravila. Končni rezultat je viden takoj.
| Zobni vsadek Easyimplant® | 320 € |
| Zobni vsadek Ankylos® | 610 € |
| Strausmann® zobni vsadek | 750 € |
| Kovinsko-keramična krona | 150 € |
| Krona iz cirkonija | 250 € |
Kaj je zobni vsadek?
Zobni vsadek v Tuniziji je postopek zamenjave zoba. Če ste izgubili zob, je zobni vsadek varen, stabilen in trajen način, da dobite nov zob, ki je videti, čutiti in se obnašati kot vaš zob.
Zobni vsadek je pravzaprav korenina nadomestnega zoba, ki je vgrajena v čeljustno kost. Nameščen je pod linijo dlesni, tako da ni viden; na vsadek je nato pritrjen kratek stebriček, ki štrli skozi dlesen in na katerega se namesti krona (umetni zob).

Ali sem dober kandidat za zobne vsadke?
Zobni vsadki so primerni za ljudi, ki so dobrega zdravja in nimajo izgube kosti v čeljusti. Do izgube kosti navadno pride, ko napredovala bolezen dlesni in se razširila na čeljustno kost.
Ta bolezen napade tkiva, ki držijo zobe na mestu, in povzroči njihovo izpadanje. Če ste zaradi te bolezni izgubili zob, je malo verjetno, da bo v čeljusti dovolj kosti za namestitev zobnega vsadka, razen če se ta obnovi z ločenim kirurškim posegom, imenovanim presaditev kosti. Čeprav je presaditev kosti običajen postopek, lahko zamakne namestitev zobnega vsadka za največ eno leto.
Kadilci niso dobri kandidati za zobne vsadke. Kajenje zmanjšuje sposobnost telesa, da se bori proti okužbam in se zdravi; poleg tega zmanjšuje pretok krvi, kar zmanjšuje količino kisika in hranilnih snovi, ki lahko dosežejo celice.
Če še naprej kadite, je zobni vsadek še posebej ogrožen ob prvi vgradnji, ogrožen pa bo ostal vso življenjsko dobo, kar lahko privede do njegove okvare.

● V Tuniziji je le ena zobozdravstvena šola, ki sprejme le najboljše kandidate za zobozdravnike. Usposabljanje poteka na enaki ravni kot v zahodnih državah, in sicer pet let študija, ki mu sledi eno leto pripravništva in nato specialistično usposabljanje, na primer na področju implantologije.
● Zobozdravniki v Tuniziji so verjetno člani uglednih strokovnih organizacij, kot je Mednarodni kongres ustnih implantologov (ICOI ).
● Zasebne zobozdravstvene ustanove v Tuniziji so sodobne in opremljene z najnovejšimi diagnostičnimi in terapevtskimi tehnologijami, vključno z digitalnim rentgenskim slikanjem in 3D/CT skeniranjem.
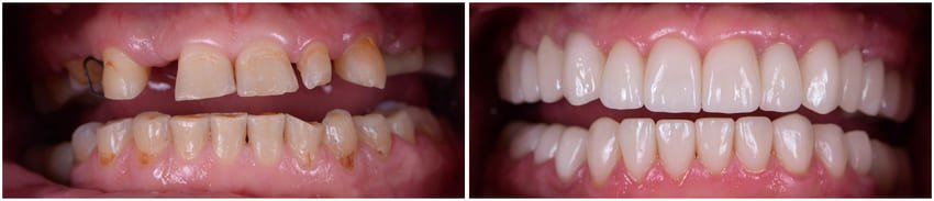
Fotografije pred/po




Potek postopka
Skoraj vsak zobozdravstveni poseg lahko uspešno opravite kot zobozdravstveni turist in zobni vsadki niso nobena izjema. Vendar gre za dvostopenjski postopek, zato boste morali načrtovati dve ločeni krajši potovanji v Tunizijo za dokončanje postopka vstavitve zobnega vsadka.
Ob prvem obisku bo zobni vsadek nameščen v vašo čeljust. Glede na vaše potrebe je lahko več kot en zobni vsadek. Postopek se izvede v lokalni anesteziji ali zavestni sedaciji. Zobozdravnik naredi majhen rez v dlesni.
Dlesen se odgrne nazaj in ustvari loputo, da lahko zobozdravnik dostopa do čeljustne kosti. V čeljustno kost nato naredi majhno luknjico in vstavi vsadek. Listi dlesni se zašijejo nazaj na svoje mesto in ko se šivi raztopijo, v ustih ne boste več videli sledi o vsadku.
Implantat nato ostane na mestu vsaj tri mesece, pogosto tudi dlje, v tem času pa se v procesu, imenovanem osteointegracija, zlije s čeljustno kostjo. Cilj tega procesa je zagotoviti trdno podlago za namestitev umetnega zoba. Ob tem se vaše dlesni zacelijo.
Ob drugem obisku vam bo zobozdravnik ponovno odprl dlesen, običajno v lokalni anesteziji, da bo razkril vsadke. Na enem koncu se na vsadek pritrdi majhen stebriček (abutment), drugi konec pa štrli skozi dlesen. Na ta konec se pritrdi krona (umetni zob), s čimer se postopek z zobnim vsadkom zaključi.
Implantacija Povzetek časovnega okvira:

● Faza 1: Med prvim potovanjem v Tunizijo vam v čeljust vstavijo zobni vsadek. Postopek običajno traja 1 do 2 uri. Po nasvetu zobozdravnika se lahko po nekaj dneh vrnete domov.
● Faza 2: Pred vrnitvijo v Tunizijo boste morali počakati vsaj tri mesece. Lokalni zobozdravnik lahko potrdi, ali sta vi in vaš vsadek pripravljena (za majhno plačilo).
● Faza 3: Po treh mesecih (ali več) se vrnite v Tunizijo, da vam namestijo krono. Za dokončanje te zadnje faze boste morali v državi ostati le nekaj dni.
Imate težave pri izbiri prave klinike po najboljši ceni? Naš koordinator vam lahko brezplačno pomaga, da bo vaša operacija v Tuniziji uspešna. Vprašajte nas za brezplačno ponudbo.
Využite možnosť bezplatného hodnotenia!
Na požiadanie a
bez akýchkoľvek záväzkov z vašej strany.
Konzultácie 100% gratuite. Analyzujeme vašu situáciu, vaše potreby a očakávania. A odhadneme rozpočet potrebný na : Letenka + Hotel + Taxi + Liečba.
Za každých okolností si zachováte úplnú kontrolu nad procesom. Úplný pokoj.