Cena operacije Hollywood Smile na Madžarskem
Povprečna cena operacije Hollywood Smile v Budimpešti na Madžarskem je 2.100 EUR. Odvisno od vaših potreb se lahko cena giblje od 1.900 do 2.300 EUR.
| Postopek | Cena Madžarska |
|---|---|
| Hollywoodski nasmeh | 2100 € |
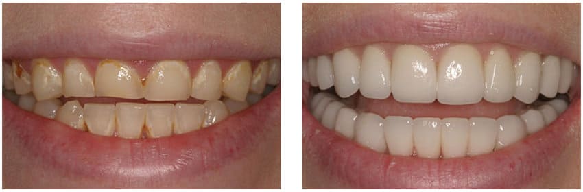
Kaj je hollywoodski nasmeh?
Hollywood Smile je popolna preobrazba vašega nasmeha, tj. popolna rekonstrukcija obeh čeljusti z uporabo zobnih vsadkov in tudi zobnih ličnikov na vseh zobeh ali vsaj na vseh vidnih zobeh v obeh čeljustih, včasih tudi na predmeljakih.
Hollywoodski nasmeh na Madžarskem v Budimpešti je verjetno najbolj priljubljen med vsemi estetskimi zobozdravstvenimi posegi. Zobni furnirji so odlično sredstvo za številna neugledna stanja zob, vključno z:
- Obarvani zobje
- Obrabljenih zob
- Odlomljeni zobje
- Manjkajoči zobje
- Nepravilno poravnani zobje

Za hollywoodski nasmeh Smlie na Madžarskem sta na voljo dve vrsti zobnih ličnikov. Namestimo vam visokokakovostne ekonomske furnirje, ki stanejo le 300 EUR za kos. To so porcelanaste lupine, ki se namestijo na sprednji del zoba in ustvarijo hollywoodski nasmeh – po razumni ceni.
Furnirji so učinkovit način spreminjanja barve, oblike, velikosti in celo dolžine zob.
Kako postopek poteka?
Najprej naredimo odtis vaših zob, nato pa iz voska izdelamo model furnirja. Izdela se kalup in pod pritiskom se vtisne staljeni porcelan, da se izdela končni furnir.
Za izvedbo postopka potrebujemo le pet delovnih dni, saj je vsak furnir izdelan po vaši meri. Vendar večino tega časa porabi zobotehnični laboratorij. Tako boste imeli nekaj prostega časa, da boste lahko uživali v ponudbi tega znamenitega zdraviliškega mesta.

Ali se zobni furnirji obarvajo?
Ne. so izredno odporni proti obarvanju in se sčasoma ne poslabšajo, tudi če so izpostavljeni tobačnemu dimu, rdečemu vinu ali kavi.
Hollywoodski nasmeh na Madžarskem vsekakor zagotavlja boljši in trajnejši kozmetični rezultat kot beljenje. Porcelan, iz katerega so izdelani, je tako fin, da je prosojen in odbija svetlobo enako kot naravna zobna sklenina, zato so furnirji videti naravno in tudi estetsko.
Kakovost hollywoodskega nasmeha na Madžarskem
Izbiramo le porcelanaste vinjete najvišje kakovosti, vendar vsi vinjeti niso enaki.
Nekateri madžarski zobozdravniki v Budimpešti ponujajo cenejše, vendar slabše laminatne ali kompozitne lupine. Študije teh izdelkov so pokazale razloge za zaskrbljenost, vključno z okvaro oprijema, razbarvanjem in slabim barvnim ujemanjem z naravnimi zobmi. Kompozitni furnir je na splošno veliko cenejši od porcelanskega, vendar nima tako dolge življenjske dobe in ga je treba pogosto menjati. Na splošno se sčasoma izkažejo za dražje.

Druge “blagovne znamke” furnirjev so lahko precej omejene glede okoliščin, v katerih jih je mogoče namestiti.
Zato bomo v podjetju Hollywood Smile na Madžarskem za dosego nasmeha uporabljali le visokokakovostne izdelke. Vsakšen nameščeni furnir je individualno izdelan v našem laboratoriju, kar zagotavlja odlično prileganje, pravo barvo, velikost in obliko za nasmeh vsakega pacienta.
Kaj če se zobni furnir obrabi?
Vgradnja zobnega furnirja v Budimpešti vključuje pripravo zoba z odstranitvijo tanke plasti naravne sklenine. Po namestitvi furnirja se ne boste mogli vrniti v prvotno stanje. Če se furnir odlomi ali razpoka, ga bo treba zamenjati.
Ko je enkrat nameščen, barve furnirja ni mogoče spremeniti. Če nameravate preostale zobe pobeliti, je najbolje, da to storite pred namestitvijo furnirja, da se barva ujema z barvo.
Če tako kot mnogi drugi stiskate in drgnete zobe, furnirji morda niso dobra izbira, saj lahko poškodujejo furnir.
Zobni furnirji VS zobne krone
Lupine morda niso primerno sredstvo za vse primere. Primerni so le za sprednje zobe in le, če so zdravi in v dobrem stanju.
- Če imate težave s kočniki
- Če so bili vaši zobje močno polnjeni
- Če so v slabem stanju
Potem verjetno namesto tega potrebujete popolno krono.

Odvisno od vrste krone, ki jo izberete, so lahko nekoliko cenejše, vendar je pri namestitvi nove krone običajno več dela, zato ta možnost pomeni, da se čas zdravljenja za pridobitev Hollywood Smile na Madžarskem običajno skrajša na en teden.
Využite možnosť bezplatného hodnotenia!
Na požiadanie a
bez akýchkoľvek záväzkov z vašej strany.
Konzultácie 100% gratuite. Analyzujeme vašu situáciu, vaše potreby a očakávania. A odhadneme rozpočet potrebný na : Letenka + Hotel + Taxi + Liečba.
Za každých okolností si zachováte úplnú kontrolu nad procesom. Úplný pokoj.